Finally, A Full Smile: Is a Dental Bridge the Right Solution for Your Missing Teeth?
You know the feeling you get when you catch a glimpse of yourself in the mirror, and that missing tooth gap is all you see? Missing teeth affects far more than your appearance. They impact how you interact with others, how you eat and speak, and even the health of your remaining teeth.
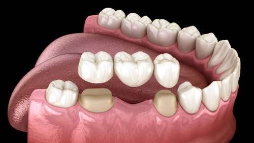
Dental bridges in Lakeville, MN, offer a time-tested ...